Restore your smile with premium dental implants in Barcelona
Affordable dental implant cost for patients from Germany and Norway
- No obligation
- Free consultation
- Reply within 24 hours
- Germany / Norway
- Dental Implant
4.000€ – 6.000€
- Full Set of Veneers
15.000€ – 20.000€
- Additional Costs.
- High consultation fees.
- Long waiting times.
- Spain
- Dental Implant:
from 2.000€ (*) - Full Set of Veneers:
From 7.500 €. - No additional costs.
- Flight and hotel included.
(*) included premium quality: implant with zirconia crown
Trust our complete oral rehabilitation team
Located in Barcelona, just next to Camp Nou, Clínica Dental Doctores Pina combines advanced dental expertise with personalised patient care.
Our clinic is led by experienced dental professionals specialised in dental implants and aesthetic treatments. We follow strict European medical standards and work with modern technology to ensure safe, precise and long-lasting results.
We understand that travelling abroad for treatment is an important decision. That is why we offer clear communication, transparent pricing and full support throughout the entire process from your first online consultation to your final follow-up.
Our goal is simple: deliver premium dental results while making your experience comfortable, safe and stress-free.
Dr. Pablo Jose Pina Adell
Dr. Francisco Pina Adell
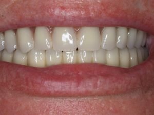
What patients say about our dental veneers
Veneers
Oral Rehabilitation

Before

After

Before

After